 
  
  
Rapid imaging of internal microstructures in tissue specimens
The Histolog® Scanner
The Histolog Scanner is a digital microscopy system for high-resolution imaging of fresh tissue surfaces without slicing or damaging the sample. Simply dip the intact specimen in a contrast agent for a few seconds, place it on the device, and scan.
Based on massively parallel confocal microscopy, a breakthrough proprietary and patented technology developed by SamanTree Medical, it enables ultra-fast, on-site tissue visualization while preserving the specimen for further analysis.
It is available for sale in the EU, US and many other countries around the world.
Rapid, high-resolution imaging at the site of care.
15
seconds
Specimen prep time
~1
minute
Scan time per surface
17 cm2
surface
Imaging window: 4.8 x 3.6 cm
2 µm
per pixel
Resolution
Rapid tissue imaging
Specimen surface imaging in minutes without resource-intensive processing 
High-resolution
Confocal microscopy delivers high resolution images to provide additional information and assist decision-making by physicians.
Easy to use
User-friendly platform with digital capabilities. Maintain integrity of specimen for final pathology.
Imaging and physician evaluation in 4 easy steps with the Histolog Scanner
Collect fresh tissue for imaging.
1.
Immerse specimen in Histolog Dip for 10 second, then rinse for 2-5 seconds in saline.
2.
Place the specimen on Histolog Dish, and scan its surface (imaging takes ~1 min)
3.
Review images on-site or remotely with physician collaboration tool.
4.
Device intended for qualified healthcare professionals only.
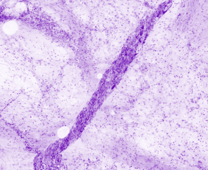
Examples of High-Resolution Images
Allows physicians to rapidly visualize and evaluate tissue microstructures
 
        
        
      
    
    Histolog physician collaboration tools
Digital collaboration tools allow physicians to review images remotely, whether together in real time or at their own pace. These platforms let users view high-resolution images, make detailed annotations, and highlight areas of interest, making it easier to share insights and consult with colleagues.
The Histolog Dip and Dish
The Histolog Dip is a patented fluorescent stain specifically formulated for use with the Histolog Scanner. It is prepared at physiological pH, osmolarity, and ion concentrations to preserve cellular integrity. It shows no interference with downstream pathology tests such as H&E and immunohistochemistry.
The Histolog Dish is single-use, patented device made with high-grade optical film for high-resolution imaging. It offers high transparency, low haze, and precise thickness, is clean-room manufactured to be dust-free, protects the imaging window, and features a self-centering design for easy placement on the Histolog Scanner.
 
          
          
        
       
          
          
        
       
          
          
        
      Refer to the Histolog IFU for full instructions for use. All data on file at SamanTree Medical.
A&P-00464 V1 - WW
 
                         
            
              
            
            
          
               
                  
                    
                 
                  
                    
                 
                  
                    
                 
                  
                    
                 
                  
                    
                 
                  
                    
                 
                  
                    
                 
                  
                    
                 
                  
                    
                 
                  
                    
                 
                  
                    
                 
                  
                    
                 
                  
                    
                 
                  
                    
                 
                  
                    
                 
                  
                    
                 
                  
                    
                 
                  
                    
                 
                  
                    
                 
                  
                    
                